Pre-operative Embolization

  • Home
  • Pre-operative Embolization

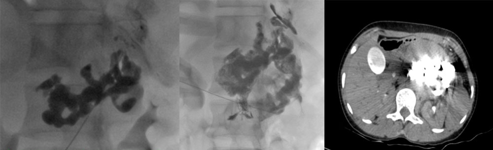
Pre-operative embolization is a medical procedure that is used to block blood flow to a specific area of the body. The purpose of this procedure is to prevent blood from flowing to an area that is going to be operated on. This can be done by injecting a substance into the blood vessels that lead to the area to be operated on. This substance will then block the blood flow and prevent it from reaching the area.

Pre-operative embolization is typically used when a patient is going to have surgery on an organ or area that is located near a major blood vessel. This procedure can also be used to prevent blood from flowing to an area that has been damaged by an injury. In some cases, pre-operative embolization may also be used to treat a tumor.

There are a number of different substances that can be used for pre-operative embolization. The most common substance that is used is a gel foam. This gel foam is injected into the blood vessels and will then expand to block the blood flow. Other substances that can be used include beads, coils, and plugs.

Pre-operative embolization is a safe and effective way to prevent blood from flowing to an area of the body that is going to be operated on. This procedure can also be used to treat a number of different conditions. If you are scheduled for surgery, your doctor may recommend that you have pre-operative embolization.

Please contact us if you have any query

© Dr. Vivek Ukirde. All Right Reserved.