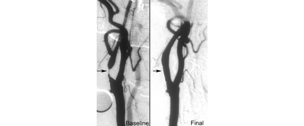
Carotid Artery Stenting

  • Home
  • Carotid Artery Stenting

Carotid arteries are the arteries supply blood flow to the brain. With the increasing age with other diseases like hypertension & Diabetes Mellitus, there may be narrowing of the carotid arteries in the neck. This is resulted due to fibro-fatty plaque formation. A small segment may break up from there & go with the blood flow to the small blood vessel of the brain and occlude blood flow to the brain. This results in to stroke.

This can be treated with medical management, surgery or stenting based on the clinical scenario. If the narrowing is > 50-60% the carotid artery can be treated with stenting which is a minimally invasive procedure.

WHAT IS A STROKE?

Stroke occurs when the blood supply to a part of the brain is suddenly blocked (Ischemic Stroke) or when a blood vessel in the brain bursts (Hemorrhagic Stroke). As brain cells constantly need glucose and oxygen, the affected brain cells die. Ischemic Stroke accounts for 87% of all stroke cases, and are largely treatable if you get to the Hospital in time.

One has to remember FAST

F - Facial Deviation

A - Arm weakness

S - Slurring of speech

T - is the TIME to rush to the Hospital.

IS STROKE COMMON?

Stroke is all around us.

Ischemic Stroke, commonly called as Stroke- HEMPLEGIA is the second most common cause of death worldwide and a significant cause of chronic disability. Due to ageing populations worldwide, it has been estimated that by 2020 stroke will be the leading cause of lost healthy life-years.

How will doctors diagnose whether patient is having a stroke?

CT (Computed tomography) or MRI (Magnetic resonance imaging) SCAN of the brain is done for diagnosis. The scan will help them diagnose whether the patient has a clot or bleeding inside the brain.

IS STROKE TREATABLE?

Stroke is largely treatable

Initial treatment consists of a complete patient evaluation. The emergency stroke unit team will document a full medical history, including physical and clinical neurological exams, as well as an imaging evaluation.

Mechanical thrombectomy

A procedure that can be done upto 6 hours of Stroke onset uses a tiny device to remove clot from an artery in the brain, restoring blood flow. This procedure is an option for some patients who cannot receive drug therapy or who have failed drug therapy.

Please Contact Us if Any Query

© Dr. Vivek Ukirde. All Right Reserved.